Now...
Porcelain veneers can be made with
No preparation
No injection
No temporary.
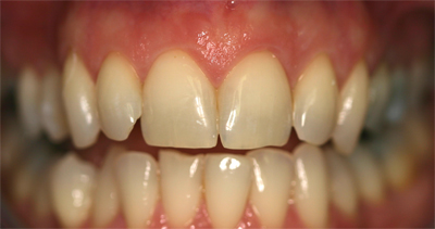
Look at the amazing results that can be achieved
without shots or the gross reduction of tooth structure.

Before

After
***************************************

Before

After

Before

After
Click here to see more examples of porcelain veneers
Guaranteed against breakage
The secret to this process lies in a new material called Feldspathic Porcelain.
This type of porcelain is so strong that it can be made to a thinness of 1/3 mm (about the thickness of a contact lens). Conventional porcelain must usually be at least 1 full mm thick. And yet the Feldspathic porcelain is strong enough that the manufacturers give a five year warrantee against breakage.
How can they offer such a guarantee? The answer is that in the 16 years of research that has been done on this product, they have had no failures. In fact, if anything cracks, it is not the veneer but the tooth itself. The bond is that strong!
Key Benefits
Cerinate veneers can dramatically improve your smile.
Here are some of the key benefits:
Frequently Asked Questions
Q. Can the Cerinate porcelain veneers (also called Lumineers) be placed when teeth are discolored, twisted or broken?
A. Yes - in fact, this is one of the best applications for this type of veneer, because the bonding resin actually strengthens the tooth.
Q. Does insurance cover these veneers?
A.
Unfortunately, the answer here is no - but, sometimes they will allow benefits based on the strength afforded to the tooth. We will be glad to submit to your carrier for reimbursement, but you must assume that they will not pay.Q. How long does it take from start to finish?
A.
The first appointment is usually a consultation. At that time, we will often take study models, photographs, and a detailed record of your teeth. This may be enough to begin, or we may need to send the case out to our labs for a diagnostic wax up or computer analysis.If there is no need for extended analysis, the case can usually be made in 14 days. If we do need to study your bite or smile more extensively, this adds another week to the process.
Q. What if you have to do minimal tooth reduction for a badly twisted or mal-positioned tooth. Will I need anesthetic?
A. No. Any reduction that is ever needed is very minimal and is in enamel, so there is no need for an injection.
Q. How much do Cerinate porcelain veneers cost?
A. Our fee is $1250 per veneer, including lab.
Q. Can I eat anything I want?
A. Yes, but we do advise that you be a little careful with extremely hard foods, such as very hard French bread crust and candy, like Butter Brickel. But all normal foods are OK.
Q. Do the Cerinate veneers stain or can I assume the shade will last?
A. There is no staining with this porcelain. Even coffee or tea has no visible effect on the color.
Q. What if I need a porcelain crown near the veneers... can the colors be made to match?
A. Yes, the labs use the exact same material for full coverage porcelain crowns as they do with the Lumineers.
Q. What about extreme staining... can the thin Cerinate veneers cover dark stains, or will the color show through?
A. The cementing resins are engineered to take care of this. What we do is tint the cement to compensate for the discolored enamel of the tooth. We can also use a masking cement when the color is severe.
Q. How many Cerinate veneers should I have? How do I decide what is best for my smile?
A. The only way to answer this is to let us examine your mouth. Once we have looked at all the options, we can better advise you regarding the actual treatment plan.
More Before and After Cosmetic Dentistry Cases
If you would like a complimentary exam, to see how we might be able to improve your smile, please contact us online or by phone.
Our telephone number is 0803-318-1698.
If you have questions about Cerinate veneers (or any other aspect of your smile for that matter), please feel free to email me... my address is drwaleadeleke@yahoo.com. I read my email every day and will try to respond to you promptly.
Your Sincerely,
Dr. Wale Adeleke
Dr. Wale Adeleke graduated from College of Medicine, University of Lagos
| Dental Emergencies | Bad Breath | Patient Education | Newsletter | About Dr. Adeleke | About Our Office | Map | Dental Resources | Our Guarantee | Gag Reflex Relief | Value Certified | Dental Health Insurance | Payment Plans | Contact Us
Copyright © 2023 Dr. Wale Adeleke BDS. All Rights reserved.